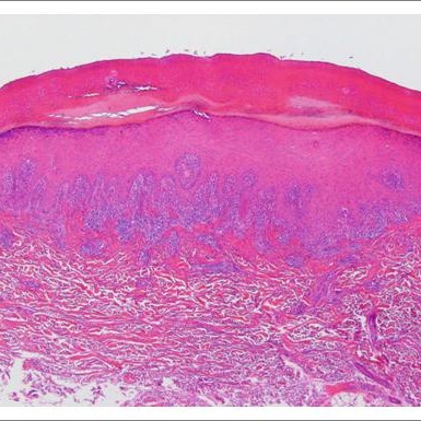
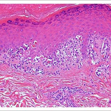
The digital slides are used to demonstrate cases for self-assessment since the beginning of TDPC. The first two years were supported by Taipei Medical University (iSLide). The EBM Technologies. provided new technique help since 2017 with a faster speed and friendly user experience.



